|
9 q6 ~( j1 g R1 |$ y5 h 引言
: J3 J9 a# |+ D 超声医生应熟知仪器设置对图像质量的影响。操作者为获取最佳图像,应在采集时和储存图像后更改仪器的一些设置。所有的超声取样模式(M型,2D和多普勒) 都具有预设功能。使用仪器的“预设”条件能够节省操作时间,提高图像的一致性,但预设条件是为典型患者样本设置的,能够获得组织结构和血流量最佳图像。
) `& p# Z7 o. U+ c- E3 l* {6 s5 N 二维取样 8 g6 a+ c, \: e) v) W/ J$ ]; T
1
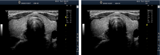
, e# N# T2 H1 j& g: f0 k2 v8 V6 y 灰阶图(Gray Map/Color maps)
, j/ X/ [, H; A: w* d3 ]% b% L 系统检测到的超声波的振幅随着信号强度的对数而变化。我们所看到的灰阶图是信号处理后的结果,操作者可根据患者的类别来选择最佳图像的设置。心脏灰阶图能更好地观察血液组织边界以及弱反射层中分散回声的细微区别,例如心肌层。建议超声心动图技术运用应与仪器生产商的应用专家合作,确定选取最佳灰度模式,并保持一致性,以便与之前的研究进行纵向比较。 0 K$ V& t: O" R7 z# L
2 $ C% J' ~+ r* M! B8 K5 i; O
伪彩(Colorize/Tint Map) 4 H7 Y$ o' t, k& s1 v
伪彩可能是一部分医生的偏好选择,把灰阶图转化为一系列彩色图像(如:麦黄色,深褐色,浅粉色,冰蓝色等)。他们认为彩色图像比灰阶图能更好地展示特定的结构。  & R% S' ]( V( {. w1 y3 M; }
3 2 `. r) w% ?$ ^, e0 @+ d2 e
动态范围/动态对比(Dynamic Range/Dyn Cont)
! n1 ^2 ^% X1 q) d5 e 动态范围设置是用来调节图像灰度阴影对比度的重要参数。此设置可改变图像接收的最大和最小振幅比。低动态范围设置下的高对比度图像。有助于边缘图像质量的复杂研究。高动态范围图像则具有更多灰度层次。对于心脏取样来说,动态范围应提供足够的灰度层次,能更好地识别致密心肌和非致密心肌的界面。灰度层次过少会导致细节的忽略或缺失,例如:薄壁分隔,血栓,赘生物,当灰色阴影过多可能使图像“褪色”,使致密心肌和非致密心肌难以区别。
) ^* j L7 `2 A 4 1 d9 N# j& [8 V
频率(Frequency) 4 F% \1 G- ^4 |3 A7 l
在成人超声心动图检查中,频率范围2~5 MHz。高的频率可提高图像的分辨率,但穿透力不足。操作者应从高到低逐渐调节,以满足声波穿透力的需求。检查中应使用可能达到的最高频率来取样。 1 C4 U+ O7 u9 Y* o, K* d
5 2 g: h: M* X4 u& D
谐波(CHI/CH/THI/Harmonics) 4 Q& a" P- D& v* l) J# L# |
谐波是利用高于基波频率数倍的返回频率来形成超声图像。谐波频率是由声束穿过组织时变形扭曲而产生。谐波取样大多普遍使用二次谐波频率,它是基波频率的两倍。对于过度肥胖者和肌肉组织密集的患者具有特殊帮助,可以获取信噪比最大化情况下更加清晰的图像。心脏超声应使用二次谐波以得到高质量图像。 1 K( q8 h( ~' }! q* I0 r
6 " m$ X! F7 }* a9 A8 Y! j
扇窗大小和深度(Scan Area/Angle、Depth) 5 E- [( o: V- K" w# {- |1 ^
图像深度设置是指在检测解剖结构时声波进入人体的深度。测量单位为cm或mm。在显示结构或血流时应最大化。但深度和扇面宽度设置可能影响帧频。由于心脏是一个快速运动的结构,高帧频可以增强瞬时分辨率。较小的扇角在某些情况下可以用来加强图像质量。  5 D6 _% g' _2 Q O% h/ C
7 : N8 @: a3 }$ B; }( l
焦点(Focus Position/Number)
1 i5 R) i4 G+ Z5 K. o 在进行预设和取样深度设置的基础上,一些系统采用动态聚焦。在这种情况下操作者无法对该功能进行调节。另一种情况是系统采用手动控制焦点来调整声束的形状和深度。较窄的宽度可以获得更好的横向分辨率。注意:当检测心尖时,将焦点移动到心尖可提高分辨率。对于心脏取样,采用单焦点比多聚焦带可保持高帧频和提高瞬时分辨率。(现在第五代超声平台采用了“零焦点”全域聚焦技术,无需再调整焦点位置和个数)。 
) L( }% ]) H \. t+ s7 ^0 F) Y 8
8 O, `% E2 F% p! B" p* i9 O2 O& D 总增益和时间增益补偿(Gain/TGC) & Y. Z. r% h* Q! B, q
增益控制是用来使整个视野中,不同患者组织和相似的声学特性具有一致性,总增益可在整个扇窗内同时调整图像亮度。为显示血液中少数弱回声和心内膜血液组织界面,增益应被设置到足够高。 . w1 x! f+ y& H) i. Y
时间增益补偿(Time gain compensate, TGC)控制为一系列可调单元,用来弥补由于超声信号深入人体内部时,其强度和振幅的缺失。因此,扇区近场的回声振幅较远场强。有选择性的放大信号强度可使结构的外观在整个扇区中一致。 1 K! O" _# {1 E+ l/ b# ?
一些超声系统具有自动优化功能,可以根据回声信号快速的自动调整时间增益补偿(TGC)。虽然此功能很省时,但应将其作为优化图像的起始点,而非图像的最后调整。 d) X6 m9 z; n0 g
9 1 l% f/ I# ~0 x, m* J) {
变焦/放大(Zoom)
3 y" ?8 ?- u# Q$ Y- o( G 大部分系统具有两种类型的变焦/放大。 5 U$ l; k" }1 {; Z
一种是在扇形和图像缩放的一小片区域内,通过定位感兴趣区(ROI)来激活预处理变焦功能。尽管显示中的像素数没有改变,变焦后每一个像素代表了心脏中更小的区域。因为ROI相较于没有变焦的图像更小,帧频会增加,从而使分辨率提高。 3 P8 }7 n9 X5 ?/ N$ O
第二种变焦是后处理功能,在图片冻结后选取ROI进行变焦。它会使解剖结构简单的放大。生成图像的像素数与原始的扇形像素相同。
" a2 J5 o4 C {1 o1 f2 }0 [/ R 变焦使影像中显示的像素减少,而放大是通过降低分辨率来实现的。推荐在可能的情况下应尽量使用预处理变焦。 6 G* c o, Z7 h) u$ e ^
10
/ R+ {7 e, D& h3 ] 帧频(Frame Rate)
& T6 j) ^5 m- u j 较高的帧频可使瞬时分辨率最大化。操作者可通过降低图像的深度,减少聚焦点的数量,缩小扫描区域角度,降低扫描的线密度(彩色模式下也可以降低取样包数量)或使用预处理变焦来提高帧频。 1 ~2 d$ E9 C1 @& z' l
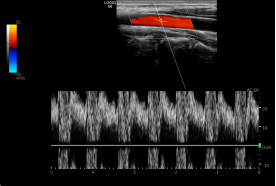
频谱多普勒 5 T* @ v5 x5 |. J) S. a7 R
操作者可在获取图像时调整频谱多普勒参数,包括速度标尺、基线位置、扫描速度、滤波器速度,取样容积,取样线角度校正和多普勒增益。
, E- z4 k* E& n/ v 1
+ r5 X, e" O7 E6 H! g8 A7 R 速度标尺(Scale/PRF) ! G* [+ W& a4 ~ A$ @% P/ M
调整速度标尺可以在不失真的情况下尽可能大的展示频谱多普勒(PW)追踪。按照惯例,在经胸超声心动图中,朝向探头的血液被显示为零基线以上,反之为基线以下。多数系统允许操作者转化制式,注意不要漏掉反方向的重要血流。
0 G$ S9 j6 ~: J& ?5 d$ ] c- @ 2
# {9 q0 j R! e$ Z9 C 扫描速度Sweep Speed/Horizontalsweep)
9 @( E L+ R9 D9 t3 t, d 系统默认的扫描速度为100 mm/s,或根据心率来调整,使扫描显示最优化。理想情况是每次扫描展示2~3个PW波形。在使一次以上的心跳可视化,同时准确测量间隔时间。例如:在评估二尖瓣血流时,可以通过增快扫描速度分散频谱波形,以精确测量时间、速度时间积分(VTI)和斜率。而当进行与呼吸周期相关联的生理学评估时则使用25 mm/s的低速扫描,可以在每次呼吸的同时,看到多次心脏跳动。 9 {& ~7 m0 C, {6 l8 K
3
. g$ R' T( |( v2 }5 l 取样容积(SV Length) - z1 h1 N! M9 c; i9 | Z
取样容积应被用来减少频谱窗口中的噪音,从而展示最清晰的多普勒信号。如果取样容积过大,多普勒信号则难以区分层流和湍流。合适的取样容积应根据被测量结构来调整。
7 h/ `% N; P2 p/ W* m6 w) C, ~5 f 4
" x% S# p8 r3 n+ G. j 取样线角度校正(Angle Correct) 9 U1 o# L, h: M' N% ]9 Q) c
根据多普勒公式:fd=2Vcosθf0/c 即:V=fd c/2f0cosθ。对一个给定的反射体速度,多普勒角度θ显著影响探测到的频移。当血流方向朝向探头,θ为0度,cosθ为1。当血流方向垂直于探头,θ为90度,cosθ为0,就检测不到多普勒频移。在实际应用中,常使探头声束与动脉之间的角度呈30度— 60度之间(心脏检查时小于30度),这个角度可以探测到可靠更准确误差更小的多普勒信号。
. G2 M- c0 q7 v) @. D. Z8 W R( G 5
7 H* {3 ~* W3 G9 T) s. {( d, _ 壁滤波和增益 " O4 R. k0 H/ l. e/ w
(Wall Filter/Low Velocity reject/WMF、Gain)
& s& _/ q& e$ l* E; s0 ^ 壁滤波可以滤除从心壁或瓣膜小叶活动中发射的“杂波”,即高强度低速度的信号。它的设置应保证ROI的血流信号能被完整明确的显示。当信号速度非常低时,壁滤波器应被调制到非常低的水平,而当高速度出现时,应当调高壁滤波器来排除更多低速杂波,从而清晰的展示ROI的多普勒信号。 ! ], e: V2 h3 Z) U* |8 B# q
多普勒总增益调整用于最清晰的展示全波段频谱中的多普勒信号:既没有缺失重要低幅信息的灰影,也没包络被过度噪音模糊的真正频谱。可展示理想光滑的速度曲线信号。多普勒信号最密集的部分测量速度较标准。  2 v. c- j& g+ T0 ~7 }( F: q
6 1 j9 w) M, `" }, n
显示设置 A1 D7 p+ Z H M3 M9 ?
频谱多普勒基线的放置应以能最佳展示ROI血流为标准。比如当使用连续波多普勒(CW)来检测肺动脉瓣时,倾向于同时展示基线上下前向和返流信号。
, C( G. Z6 O% Q0 R 一些系统还具有自动优化功能,即一键设置基线,增益及壁滤波。以此作为获取最佳图像的开始。 6 D$ g; ?+ j( S
7
U( m+ P+ y6 A( N, I0 J 脉冲多普勒,
+ N2 V- ~: j: J 高脉冲重复频率多普勒和连续波多普勒 $ B% T+ d( Y7 G- q' I3 s/ q8 e
频谱多普勒包括三个模式,即PW,高脉冲重复频率多普勒(HPRF)和CW。
+ N ]3 e3 i8 \, L4 Z! N: J6 R: v PW用于在特定深度测量血流速度(距离分辨率)。主要的局限性是混淆失真:在过高的速度下无法展示完整的速度波形。当被检测到的多普勒移频大于被传输到心脏中的1/2个脉冲重复频率时,会出现混淆失真。脉冲重复频率是决定最大可测量速率(奈奎斯特极限)的主要因素,它主要取决于速度标尺,并受限于最大取样深度。当一般脉冲模式无法消除混淆失真现象时,切换到HPRF可增加有效的取样数量。HPRF用于在PW出现混淆失真时,在特定深度测量血流速。例如,增加到两个取样容量,可使奈奎斯特极限增加两倍,更高的速度可以被展示。这种技术最大的局限性在于距离模糊,或无法确定展示速度的原点。当使用HPRF和两个样本容量时,所展示的速度可能来源于其中任意一个样本容量。操作者应熟知所使用系统的特点,意识到在速度标尺增加时,一些系统会自动切换到HPRF,致使多个样本容量突然出现。
* W) G" j* I1 f5 ?% Y9 V5 W CW用于测量和记录高速度。由于超声波的传递和接收是连续的,CW没有奈奎斯特极限,但它的局限在于距离模糊。由于CW会对整个扫描范围内沿声束路径的所有返回频率进行取样,因此它无法识别某一个频率移动的位置。CW多使用双功(取样和多普勒结合)探头,以帮助辨别高速血流的来源。为了获取最大血流速度和最佳敏感性,推荐使用小尺寸专业的非成像(脉冲多普勒)探头。
# v B" Z) u9 S' u/ z/ C 8 & n$ L+ c' i7 f8 n2 Q
组织多普勒(TDI) * _! \3 x5 V7 h, `2 s3 \
组织多普勒(TDI)是一种典型的用于测量二尖瓣环和三尖瓣环处移动心肌的多普勒频率变化的技术。彩色多普勒(CDI)和PW模式下都可使用TDI 。DTI可在非常高的振幅下(>40 dB)检测非常低的速度(<20 cm/s) 。它的滤波器设置与标准PW对血流的设置有很大的区别。为使此多普勒模型最优化,推荐使用系统预设条件。DTI预设拥有比PW更大的取样容量,其速度标尺设置低于25 cm/s,有特定的滤波器、功率以及扫描速度设置。速度和时间间隔测量应在扫描速度为100 mm/s的情况下进行。
) y: M$ s9 m/ z) e6 F 彩色多普勒取样
4 S: W- n! R( M$ j" r6 M; t CDI用于ROI内沿着一系列扫描线的多个取样容量的多普勒技术。它是与2D图像相结合,并受2D增益影响。CDI取样可展示:时间、相对速度、方向和湍流的出现。为更好的展示彩色血流数据,应使数据最优化,包括ROI的大小,2D扇区大小,彩色阈值和速度标尺。
3 ^# Z* @& V0 H3 `, y- b6 h4 g( C 1 / h& K9 H( L3 f* ~* `
ROI和2D扇区大小
. C5 q5 Z, X( o% W# i6 E1 f+ P 在使用CDI前,应先确定取样框区域,调整2D扇形大小至最小深度和宽度。可以使彩色帧频达到最优。预设置变焦模式是2D展示的最佳替代,确定CDI检测区域的大小和位置。ROI应包括所有要评估的血流信息。将ROI调整到尽可能窄和浅,可使帧频和速度标尺最大化,以取得最佳瞬时分辨率和血流速度分辨率。
^; u+ b4 a8 D, {3 U 2
+ [* v$ @; [& I: X' ?& s9 | 彩色增益(Gain) / ~" F: G* a3 G1 e6 v& G' D5 ]) P1 w$ F
彩色增益应通过以下方式来调整:缓慢调高直到任意的彩色血流染斑高于ROI的边缘,随后缓慢调低直至染斑消失。在检测中,彩色增益应被频繁调节,因为始终保持过低的彩色增益,声波传输时的变化和信号衰减可能会误判为血流不足。 2 x& @- h' w7 w- A" N$ R- z
在灰阶图和PW中,也可通过调整彩色增益来展示解剖结构中的“最佳”血流。通过调节可使灰阶图中无法清晰识别的结构有效填充,以确认结构的存在。 2 }4 T) I& h n! C2 a% k
3
4 Y; E) t: H l/ Z" V, w$ j+ z 彩色阈值(Threshold/Balance/Write Priority) # F2 Y6 }/ l% @5 I
最基本的色彩图展示了血流的方向:阈值为零时通常显示为无色彩,CDI取样中,朝向探头的血流设置为红色,反之则为蓝色。每个方向的速度标尺代表了取样频率和探头的奈奎斯特极限,心脏预设通常速度标尺设置为50~70 cm/s。通过色调或亮度区分不同血流速度:深色代表低速,而亮色代表高速(例如:从深红色到亮黄色)。层流使用一种纯粹的颜色,而湍流则使用多种颜色的拼接。操作者还可以选择个性化设置,如在色彩图中增加绿色和黄色,以作为区分湍流和层流的替代方法,突出血流速度的变化。 - Y3 [1 d; H; G2 W
4 6 n& q: {2 p4 K. n& Q% j
彩色速度标尺(Scale/PRF) * {7 N7 |) n! U- d1 u* _' O1 ]
彩色速度标尺的最优化至关重要,其奈奎斯特极限通常应被设置为50~70 cm/s。代表了平均速度标尺。将其设为高速度标尺时,可展示一些没有混淆现象的彩色血流数据(如:层流)。奈奎斯特极限作为默认设置,对于瓣膜返流喷射的展示尤为重要。所展示的返流速受几个变量影响,其中一个是奈奎斯特极限,较低的比例设置在相同返流量呈现出的大小与高比例设置要大得多。一致的设置可以加强对于慢性瓣膜病患者纵向研究的可重复性。另外血压也会相应的影响返流口喷射大小的展示。
Y$ z- G; ^; s 当取样框中所有的血流都处于低速时(如心房内或肺部),会展示为几乎没有颜色的多普勒信号,因为大部分速度属于靠近基线的“黑色”低速波段。将奈奎斯极限设置为30 cm/s左右是低血流表现状态的一个好的起始点,系统会用更明亮的色调展示更低的速度。 : Q+ N q, @& R5 l
一些超声系统会提供自动最优化功能,可以帮助迅速获取最佳的CDI图像。操作者应了解并更好地使用这个功能。
D* x8 U& f& }% Z1 ?0 \5 |0 [ M型模型
3 h) \2 \; e5 p M型可调参数中最重要的是总增益、时间增益补偿(TGC)以及扫描速度。M型最主要的价值是时间分辨率,它可以加强对快速移动物体的展示 。高达100~200 mm/s的扫描速度对获取最准确的时间相关的测量值是十分有利。而低速扫描则适于观测多次心跳。M型可以描绘最佳的心动周期内某结构的运动时间 。 + Q3 t7 M, t8 m/ B4 C( q k: s" Y
1
0 H, Z- e; a8 H4 ?1 b 彩色M型
$ A* J; d0 ?5 n, m 彩色M型结合了CDI取样和M型追踪。它可通过明显增加血流活动的瞬时分辨率来帮助测定心动周期内某彩色血流活动的时间。例如,这项技术可为心动周期内喷射不足时,评估流入左室(LV)血液传输速度。
0 m4 S5 g* c( \ 2
$ d5 e, t! c) C4 L& N! V 解剖M型(AMM)
7 T* N6 z* Q5 n: ?! a( F 对ROI进行倾斜取样时,线型测量被高估。对于某些具有“陡峭”心脏的患者,解剖M型可使取样线指向垂直于ROI的方向转动,而非保持在2D图像扇区中心固定的原点。这可有针对性地提高具有“陡峭”心脏或轴偏离患者的M型测量准确度。注意,此图像瞬时和距离分辨率都劣于2D图像的参数,与直接获取的M型图像相差很多。
2 b- A2 ~1 C# ^5 K5 E5 L' B* @5 R3 T 心电图的设置(ECG) ; L, A1 y# q- T, q/ }5 z
高质量的心电图信号对于运用超声心动图检查技术来决定检测的时相至关重要。通常会使用到三个心电图导联,分别连接于左右两臂和左腿。一般右臂的导联放置于锁骨下靠近右肩的位置,左臂导联放置于左锁骨下,左腿导联放置在左肋下方。 ' T! r* i+ h* v! J @
结语
! c: j: C! B7 N8 Q 仪器调节是超声图像环节质量控制中的重要一环,本文内容旨在帮助超声医生了解新版《指南》中,关于现代超声仪器各项参数的调节意义,并且熟悉掌握彩色多普勒超声仪在腹部、心脏管、小器官、妇产、肌骨等方面的运用技巧及最佳图像采集,达到对照标准规范操作的目的。
. J, Q2 p6 ~7 j5 b9 j# v *注:因各厂家机型版本参数调试略有差异,仅供参考。本文章为超声临床应用医生的学习笔记,内部学习使用,如有侵权,请联系删除,谢谢!
1 {! d, l3 n8 q, C6 P 作者:中国医疗传媒集团—临床市场部
- K) j( F7 q; r3 m+ J a% | 编辑:小邹审核:晓凤
- H' P7 r% d# f( E  fill=%23FFFFFF%3E%3Crect x=249 y=126 width=1 height=1%3E%3C/rect%3E%3C/g%3E%3C/g%3E%3C/svg%3E)
% k) ]! x9 O M  fill=%23FFFFFF%3E%3Crect x=249 y=126 width=1 height=1%3E%3C/rect%3E%3C/g%3E%3C/g%3E%3C/svg%3E)
) @ v3 l/ q! f/ n 快点击下方蓝字阅读原文,
+ R9 {- Y2 `9 P( s% f& M 进入超声秘籍专栏 4 p7 N/ a2 W9 B5 w8 }9 A1 U9 N
选择你喜欢的书籍吧! # w5 e* M4 }/ i$ `0 ` z+ @
; A% M- I- ^( a7 {9 ?( @+ u% T+ n5 v
0 i, e, u7 d& G$ F& S$ `3 Y1 c2 H/ H) u6 N$ v! |
* d6 x- T+ {6 A$ p5 S$ F! N, H9 Q |